Flock and Herd logo

CASE NOTES


Alpha-mannosidosis in Angus calves

Victoria Churchill, District Veterinarian, Northern Tablelands Local Land Services

Posted Flock and Herd September 2025

Introduction

This case report outlines the diagnosis of alpha-mannosidosis (α-mannosidosis) in two Angus calves. Alpha-mannosidosis is a genetic condition rarely seen nowadays. The prevalence has reduced due to the use of DNA testing and a concerted effort to avoid at-risk matings1. Genetic neurological conditions are mostly fatal and present severe animal welfare concerns. Hence, the early recognition of genetic conditions in a herd is important to reduce animal welfare impacts and increase productivity.

History

A producer in the Northern Tablelands contacted Local Land Services (LLS) in December 2024 after he noticed two, three-month-old Angus calves with ataxia. The calves were part of a herd of 37 cows and their calves. Another calf displaying similar signs was euthanased at marking due to aimless wandering. No abnormalities were noted by the producer when the calves were born. Their births were unassisted, and no abnormalities were noted at marking at approximately eight weeks of age. Two weeks prior to signs being noticed the cattle were moved onto a new paddock. The paddock was on the edge of a gorge containing mixed native pasture and dam water. The calves had received clostridial (5-in-1) and pinkeye vaccinations. They had been given selenium supplements and were suckling from healthy, well-conditioned cows. Sporadic Bovine Encephalomyelitis (SBE) had previously been diagnosed in calves on the property by a private veterinarian, and they responded to antibiotic treatment. Due to the history of SBE the producer started both calves on oxytetracycline (approximately 30mg/kg IM) the day before the phone call to LLS. Calves affected by Akabane virus had also been seen by the producer on the property over the years. The producer was advised to move the herd off the paddock and present the calves for examination.

Clinical examination

A walkthrough of the yards revealed no clinical signs in the other calves and dams. An affected heifer and steer calf were presented for examination, along with their mothers. Both calves showed varying intermittent ataxia affecting their forelimbs and hindlimbs, particularly the heifer. They had wide-based stances, and the heifer exhibited a fine head tremor. The heifer also had a slightly domed forehead. No abnormalities were found during the general clinical examinations. The neurological exam was conducted in the field and no abnormal cranial nerve functions were observed for both calves. Pathology of the brain, especially the cerebellum was suspected due to the abnormalities in coordination. Blood samples were taken for haematology and biochemistry, blood lead levels, Bovine Viral Diarrhoea virus (BVDV) antigen and Chlamydia pecorum complement fixation testing. Diseases suspected at this point were BVDV (persistently infected), unknown plant toxicity, SBE, Histophilus somnus infection, mannosidosis and lead toxicity. Blood samples were also taken from the dams in case they were required for analysis.

Laboratory results

Both animals tested negative for lead and BVDV antigen capture ELISA (ELISA-PACE), and both were negative on the Chlamydia pecorum complement fixation test. Both calves had moderate to high increases in creatine kinase (CK), presumably due to muscle injury secondary to ataxia. The heifer also had a mild increase in Aspartate aminotransferase (AST), see Table 1. In the steer, there was a mild leucocytosis. As the animals were still able to nurse and graze and they had been moved onto a paddock less likely to contain weeds or unknown plants, the producer decided to monitor the animals over the Christmas break.

Heifer calf Steer calf Reference ranges
CK 2401 U/L 980 U/L 43-580 U/L
AST 133 U/L 76 U/L 58-125 U/L
Table 1: Increases in CK and AST in the heifer and steer calf

Second Visit

During a paddock inspection early in January 2025, the producer noticed that the calves were growing well and appeared to have improved. However, upon yarding for a husbandry procedure, the calves demonstrated worsening clinical signs. A second visit was arranged and the calves were re-examined. The calves had grown; however, the ataxia had progressed and there was a concern that the calves might die of misadventure. A clinical exam was conducted and there were no new findings other than progression of the same neurological signs. A decision was made to euthanase both calves, conduct post-mortem examinations and collect samples to determine the cause of the neurological signs. Ante-mortem bloods were taken, and to preserve the brain the calves were heavily sedated with intramuscular xylazine and euthanased with intravenous Lethabarb (Pentobarbitone sodium 325mg/ml).

Post-mortem findings

Post-mortem examinations were performed on the calves. No gross abnormalities were observed with the brains aside from a slight flattening of the gyri. Both cerebellums were of normal size, see Image 1. There was an abundance of cerebrospinal fluid (CSF) in both calves and a sample was collected from the heifer calf. Other samples were collected, including fresh brain, fixed brain and spinal cord from the cervical to the cervicothoracic region. Fresh and fixed samples were taken from all the main organs, including liver, spleen, kidney and lung. Both calves had what appeared to be a fluid-filled cyst in one kidney. Tail hair samples were also collected for genetic testing. The remains of the calves were immediately deep buried on the farm, away from water sources.

The differential diagnoses at this stage were cerebellar abiotrophy, mannosidosis and unknown plant toxicity, although the latter seemed less likely due to the low numbers of affected animals. Cerebellar abiotrophy and mannosidosis were considered most likely due to the signalment of the calves, the age of onset and progression of clinical signs.

Image of calf brain at post-mortem
Image 1. Brain of the heifer calf showing normal proportions of the cerebrum and cerebellum

Laboratory results

The brains were examined histologically, and the pathologist suspected a lysosomal storage disease. The histopathology findings were indistinguishable from that of Swainsona toxicity induced by Darling Pea ingestion (Ngo, personal communication), which causes secondary α-mannosidosis. Animals that ingest this plant, however, tend to have weight loss along with neurological signs. The producer was confident that the pastures did not contain Darling Pea, and the plant is not commonly seen in the area (Robb, personal communication), nor seen on the property visits.

Genetic testing revealed both calves were homozygous (two copies) for the DNA variant known to cause α-mannosidosis in Angus cattle. Neimann Pick Type C disease, another lysosomal storage disease reported in Angus cattle, was excluded by genetic testing. Intracellular cocci were found in the CSF from the heifer calf, which may have indicated the presence of an infection.

Discussion

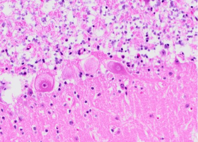
Alpha-mannosidosis is one of several lysosomal storage diseases seen in cattle and has been identified in Angus, Murray Grey and Square Meater breeds1. The lysosome is the waste recycling centre of cells, containing enzymes that break down cellular waste and debris. Affected cattle lack the enzyme α-mannosidase due to a defect in the gene coding for the enzyme1. This leads to an accumulation of mannose-containing oligosaccharides in the cells, damaging tissues, including the brain. Histologically, this is seen as foamy vacuolation of the cytoplasm of cells, see Image 2. This includes Purkinje cells in the cerebellum, giving rise to the ataxia seen in α-mannosidosis. In secondary α-mannosidosis caused by plant ingestion, the toxin swainsonine inhibits the action of α-mannosidase2, leading to similar pathology and signs.

Photomicrograph of bovine brain showing foamy vacuolation of neural cytoplasm
Image 2. Purkinje cell swelling and foamy cytoplasmic vacuolation in the heifer calf

Affected calves often show few to no clinical signs at birth, similar to what was observed in this case; however, calves can also struggle from birth with a poor suck reflex, head tremor and failure to rise. In addition, cattle can become aggressive so precautions should be taken when handling affected animals. The cause of death is usually misadventure between the ages of 2 to 12 months1.

The mode of inheritance of α-mannosidosis is autosomal recessive, so for the condition to manifest in a calf, it must receive copies of the defective gene from both the maternal and paternal sides. Only one bull had been used in the joinings, however, hair samples from all bulls on the property were submitted for genetic testing. Ensuring bulls do not carry the defective gene will prevent the condition from occurring. Females can also be tested to check their carrier status, particularly if there are desirable traits in these animals and the intention is to retain them for breeding.

The other findings in the calves; the renal cysts and the intracellular bacteria in the CSF could be incidental; however, humans with α-mannosidosis have a greater susceptibility to bacterial infections and often suffer from recurrent infections3. The abundant cerebrospinal fluid fits with the slight hydrocephalus these calves often have1, also probably contributing to the slight flattening of the gyri.

This case report highlights the importance of considering all likely aetiologies in disease investigations, including genetic disease. Alpha-mannosidosis should be considered in Angus calves, and breeds derived from Angus, that develop progressive neurological signs at a young age.

Acknowledgments

Thank you to Dr Angel Ngo, Dr Brendon O'Rourke and Dr Anthony Chamings of the Elizabeth Macarthur Agricultural Institute, and Professor Mark Krockenberger of the University of Sydney for assisting with the diagnostic work up of this case. Thank you to Northern Tablelands LLS Biosecurity Officers Camilla Stokes and Joshua Robb for their enthusiasm and assistance with the field work.

References

  1. Parkinson T, Vermunt J, Malmo J and Laven R (2019) Diseases of Cattle in Australasia, Chapter 21: Genetic Diseases of Cattle p 1035
  2. McKenzie Ross (2012) Australia's Poisonous Plants, Fungi and Cyanobacteria: A Guide to Species of Medical and Veterinary Importance CSIRO Publishing, pp 62-63
  3. Malm, D & Nilssen, Ø (2008) Alpha-mannosidosis Orphanet Journal of Rare Diseases 3:21

 


Site contents Copyright 2006-2025©