Lupinosis (Phomopsin intoxication) is a disease of the liver caused by a toxin that is produced by the fungus Diaporthe toxica, formerly known as Phomopsis leptostromiformis. This fungus can infect all plant parts of Lupinus spp. but is more commonly seen on dry stems at maturity and on pods and in some cases seed (Cowley et al. 2013). The disease is more common in sheep than cattle. This report describes a likely case of Phomopsin intoxication in cattle in western New South Wales.
In late June 2023 three cows from a mob of 32 adult Hereford and Hereford-cross cattle on a property near Coonamble were found dead. A further two were identified as unwell - one was recumbent. For the previous few months, the mob had been grazing stubble from a lupin crop harvested in November 2022. They did not have access to any supplementary feed, and 8mm of rain was received in the week prior to the deaths. Upon finding the dead cattle the owner moved the remaining animals to a native pasture paddock.
After finding one of the unwell cows dead the next day the producer contacted the local District Veterinarian, and a property visit was conducted.
At the visit, the live cow examined visually in the paddock was listless, had low rumen fill, exhibited ptyalism and had sloughing of the nasal plane mucosa. All the deceased cows examined displayed evidence of epiphora with icteric tears and conjunctivae.
A necropsy was performed on the cow that died overnight. She was in Body Condition Score 3/5 and heavily pregnant. The carcass displayed generalised jaundice (Figure 1). The liver and gall bladder were both enlarged, and the liver was diffusely icteric throughout the parenchyma (Figure 2). Other findings were the presence of rumen flukes, hyperaemic abomasal mucosa (Figure 3), pulmonary congestion and oedema, and dark yellow/brown urine.



Phomopsin toxicosis was suspected during the visit due to the clinical and post-mortem examination findings indicating a hepatopathy, and the history of grazing lupin stubble. The lupin stubble in the paddock was then examined and found to have a 'leopard' spot appearance (pycnidia) consistent with that of the fungus Diaporthe toxica, which is known to produce the phomopsin toxin (Figure 4).

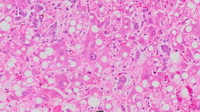
On histopathology of the liver there was severe diffuse fatty degeneration of hepatocytes, which was most prominent in periportal areas. Portal triads showed marked proliferation of bile ductules and mild fibrosis. Bile pigment was noted in canaliculi, hepatocytes and Kupffer cells. There was a marked variation in cellular and nuclear size of hepatocytes with presence of megalocytes and binucleated cells, and rare asymmetrical mitotic figures. Low numbers of neutrophils and lymphocytes were scattered in the parenchyma, with occasional clusters of neutrophils.

This cow had a severe subacute hepatopathy with severe fatty hepatocyte degeneration, megalocytosis, biliary proliferation, mild fibrosis, bile stasis and rare aberrant mitotic figures. These changes are consistent with a toxic hepatopathy, and considering the history and exposure to lupin stubbles it is highly likely that this cow had Phomopsin intoxication.
Phomopsin intoxication is most commonly seen in sheep in New South Wales, and rarely in cattle. In 2023, an unusually high number of cases of confirmed/suspected Phomopsin intoxication in sheep were recorded by veterinary laboratories in New South Wales (author's personal observation). This increase in case numbers was also reported in Victoria and Western Australia in the newsletter of the Australian Society of Veterinary Pathology 'The Scope', July 2023 edition. This increase was most likely due to the wet conditions in many parts of Australia in the preceding summer/autumn that would have favoured fungal growth on stubble.
Cattle are less susceptible to Phomopsin intoxication than sheep. Phomopsin poisoning in cattle causes most losses when the animals are heavily pregnant or lactating. A study from Western Australia, using field and experimental cases, suggested that there are two syndromes in cattle grazing lupin stubbles. The more common one is a fatty liver syndrome of late-pregnant or recently calved cows in late summer/autumn when cows are affected by nutritional ketosis secondary to inappetence caused by Phomopsin. The second, less frequent presentation is a cirrhotic liver syndrome occuring in any class of cattle, manifesting in winter after grazing of stubble had ceased, and is caused by direct effect of Phomopsin (Allan 1981).
Mackie et al. (1992) reported a major mortality in yearling heifers grazing lupin stubble in southern New South Wales during February and March when rain and warm weather favoured fungal growth. First clinical signs were noted after three weeks, at which point the cattle were removed from the stubble. 70 of the 80 animals were clinically affected, and 35 of these died. Most deaths occurred over the first two weeks. The carcasses of three necropsied animals were jaundiced. Microscopic findings in the liver included marked fibrosis and biliary proliferation, fatty degeneration of remaining hepatocytes, single cell necrosis, karyomegaly, aberrant mitotic figures, bile stasis and mild neutrophil infiltrates.
In our case, it is difficult to determine the extent to which the toxic changes in the liver or ketosis in these heavily pregnant cows would have contributed to death, and also if hepatotoxins other than Phomopsin could have contributed to the toxic liver lesions. Following removal of the cattle from the lupin stubble only two more cows died over the period of one month, although several displayed signs of chronic liver damage through chronic ill thrift. In any case, one needs to be cautious when considering grazing any cattle, but particularly pregnant or lactating animals, on lupin stubble and especially when seasonal conditions are conducive to fungal growth.