Outbreaks of Phalaris intoxication in sheep are typically associated with grazing on pastures where these plants predominate, particularly under specific growth conditions that favour alkaloid accumulation. These alkaloids interfere with the metabolism of monoamines, leading to the accumulation of neurotransmitters and subsequent neuronal degeneration. Clinically affected animals may present with acute or chronic neurological signs such as tremors, convulsions and, in severe cases, prostration and death (Fernández de Luco et al., 1991).
The affected flock consisted of approximately 3000 sheep crossbred with the local Rasa Aragonesa breed, divided into two groups: one of dry ewes and the other of lactating ewes. Management was based on a semi-intensive system, with occasional extensive grazing. The flock was scheduled to have five lambing periods per year with a 35-day interval between each mating period. Sheep initially presented with acute neurological signs shortly after being introduced into a new pasture. When first noted, only two sheep exhibited neurological signs, although within a few days an additional ~50 animals were clinically affected. Sporadic deaths after this outbreak of clinical neurological disease also occurred. Following removal from pasture, most animals recovered but some continued to display clinical signs for up to two months.
Four animals were referred for diagnosis, including two pregnant ewes, one recently-lambed ewe and one ram. Three animals were sent directly for post-mortem evaluation, whereas one ewe underwent a neurological evaluation. This ewe was treated with B-complex vitamins, dexamethasone, diazepam, fluid therapy, metamizole sodium and a selenium-vitamin E supplement, although no clinical improvement was observed. This animal died three days after admission and was referred for post-mortem evaluation. Treatment with vitamin B1 and dexamethasone at the affected farm did not lead to resolution of the clinical signs, although the farmer reported having noticed some general improvement.
A complete clinical and neurological examination was performed on the only surviving ewe. The animal was profoundly prostrate and apathetic, showing paddling movements, hyperaesthesia and pronounced ocular hypersensitivity to light and touch. In addition, tonic–clonic seizures were observed, suggesting a lesion in the prosencephalon. The ewe also lacked a menace response, suggesting the likelihood of either a cerebellar lesion or cortical blindness. Overall, the examination revealed an acute, progressive, non-lateralised clinical presentation of a severe multifocal or locally extensive acute to subacute central neurological disorder. To progress a differential diagnosis, the so-called ‘VITAMIN D’ method was applied. In this approach, each capital letter corresponds to a possible aetiology: Vascular; Inflammatory/Infectious; Traumatic; Anomalies (congenital/abiotrophies); Metabolic/Toxic; Idiopathic; Neoplastic; and Degenerative.
Initially, neoplasia and congenital abnormalities were excluded from the differential diagnosis as many sheep of all ages were affected. As the condition was non-lateralised and progressive, vascular and traumatic aetiologies were also considered unlikely. In addition, given the acute onset of the clinical signs, a degenerative process was also considered unlikely. Consequently, idiopathic, infectious and toxic causes remained as the most plausible differential diagnoses for this neurological disorder.
Haematological analysis of the surviving ewe revealed leukopenia, lymphopenia, eosinopenia and thrombocytopenia. Thrombocytopenia may be indicative of bone marrow toxicity. In addition, leukopenia and lymphopenia can be observed in cases of severe intoxication, while eosinopenia may develop as a response to acute stress or shock.
Grossly, within the central nervous system, a consistent lesion pattern was common to all sheep subject to post-mortem examination: meningeal hyperaemia (Fig. 1) and greenish discoloration of the geniculate bodies of the thalamus and brainstem (Fig. 2). In two cases, there was softness of the cerebral hemispheres with dropping over the edges of the parietal bones once the calvaria was removed, which is consistent with central nervous system oedema. The discolouration in the geniculate bodies was a very significant change and all lesions may be considered as suggestive of intoxication with Phalaris spp. Other pathological alterations were: segmental haemorrhagic enteritis (one case), hydropericardium (two cases) and atrial ecchymosis and petechiae in the coronary sulcus (one case).


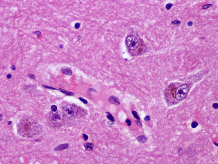
Microscopic examination of the grey matter in the encephalon demonstrated the presence of dark brownish intracytoplasmic granules in neurons (Fig. 3). These accumulations were more important in the brain stem nuclei than in the neocortex. These lesions are consistent with alkaloid granules and are diagnostic of Phalaris spp. intoxication. Additionally, neurons exhibited degeneration, pyknosis (characterised by darkly stained neurons) and neuronophagia. No inflammatory reaction was observed. Blood vessels showed an increase in Virchow-Robin space or perivascular oedema.

The clinical signs observed in this outbreak indicated a neurological disorder, prompting consideration of several differential diagnoses, including plant intoxication, hypomagnesaemia, cerebrocortical necrosis, enterotoxaemia and acute coenurosis. Necropsy findings did not indicate a common process among the four sheep to explain the clinical signs and clearly pointed to a neuropathological condition. The combination of neurological examination, pathological findings and anamnesis strongly supported a diagnosis of intoxication by plants of the genus Phalaris. Photographs of the pasture provided by the farmer revealed abundant growth of Phalaris aquatica (Fig. 4), reinforcing the diagnosis of a plant toxicosis as the primary cause of the outbreak. This case highlights the importance of integrating clinical, pathological and field information to achieve an accurate diagnosis in flock health problems.


Phalaris canariensis is widely cultivated in temperate countries worldwide. However, the species of concern for extensive livestock production are Phalaris aquatica, Phalaris arundinacea, and Phalaris brachystachys. In Australia, several varieties have been described, including Phalaris aquatica, Phalaris arundinacea, Phalaris brachystachys, and Phalaris minor (Watson, 2000). Intoxications associated with this perennial grass have also been diagnosed in New Zealand, Argentina, Norway, the United States, Spain (De Luco et al., 1991) and Australia (Alden et al., 2014), which demonstrates its wide distribution. All reported cases concur with the clinical picture in this case. Less severe and chronic signs can confuse the veterinarian or farmer as they can present some months after plant ingestion.
Intoxication by Phalaris spp. involves tryptamine alkaloids, specifically N,N-dimethyl-indole-alkylamine type, a serotonin-like substance causing competitive inhibition of the enzyme monoamine oxidase (MAO) and interfering with the metabolism of serotonin and other amines, particularly catecholamines. This enzymatic disruption leads to the accumulation of neurotransmitters in the postsynaptic space, resulting in formation of aldehyde as a metabolite. Clinically, this neurotransmitter imbalance correlates with the neurological signs observed in affected animals, including hyperesthesia, dyskinesia, paddling and convulsive episodes, signs consistent with central nervous system overstimulation. Moreover, aldehydes derived from alkaloid metabolism may deposit in the lateral geniculate nuclei of the thalamus. These nuclei, which serve as the primary relay centres for visual information from the retina, develop a greenish discolouration and potentially contribute to blindness due to their functional disruption.
To avoid Phalaris spp. intoxication, preventive measures should focus on reducing livestock exposure to the high concentrations of alkaloids responsible for neurological syndromes and sudden death. One of the most effective strategies is the selection of less toxic pasture varieties, prioritising those with low levels of gramine and without methoxylated or tryptamine derivatives, although no completely safe varieties are currently available. Grazing management is equally essential, since young regrowth accumulates higher amounts of alkaloids. It is recommended to prevent animals from consuming these parts of the plant exclusively or intensively, restrict access to areas with high Phalaris spp. density and fence off wetlands, ditches, and stream margins where Phalaris species more easily proliferate.
Regarding forage conservation, haymaking is considered safer than fresh consumption, as heat and storage decrease the activity of toxic compounds. The making of silage does not eliminate alkaloids but does helps stabilise forage quality and reduces other antinutritional factors, with further improvement possible through the addition of lactic acid bacteria. Likewise, plant control in pastures through targeted herbicide application and rotation with alternative forage species reduces the prevalence of Phalaris in grasslands. Mineral supplementation with cobalt has shown preventive efficacy by stimulating the growth of rumen bacteria capable of degrading alkaloids before absorption, although it has no therapeutic effect in already affected animals. Vitamin B1 (thiamine) can act as a neuroprotective agent (Lee et al., 1957). Finally, continuous clinical monitoring of livestock and laboratory analysis of local forage allow for early risk detection and timely adjustment of management strategies (Marten et al.,1985 and Binder et al., 2009).
In conclusion, this outbreak illustrates the significant impact that Phalaris toxicosis can have
on sheep flocks and the challenges associated with its diagnosis and management. While treatment is
mainly supportive and often of limited efficacy, timely recognition of the condition and rapid removal
of animals from affected pastures are essential to reduce morbidity and mortality. Preventive strategies
remain the most effective tools to reduce the likelihood of future cases. This case emphasises the need
to integrate clinical, pathological and field-based evidence to reach a definitive diagnosis and
implement effective control measures that safeguard both animal welfare and farm productivity.